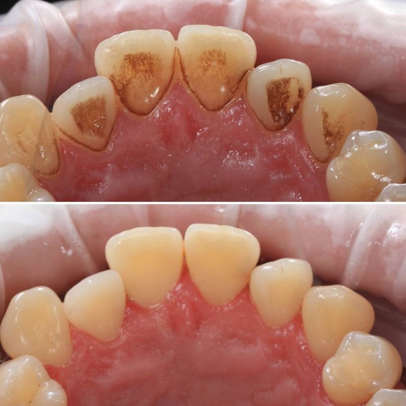
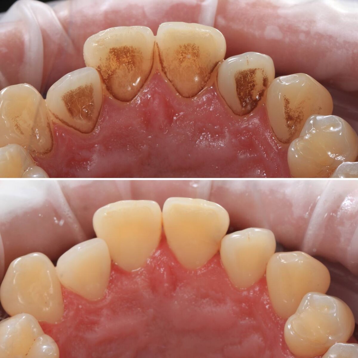
Появление желтоватого или темного налета на зубах, как правило, сигнализирует о недостаточной гигиене полости рта. Совы по утрам, ароматный кофе или насыщенные пищевые пигменты могут со временем окрашивать зубную эмаль, что приводит к неэстетичному внешнему виду и ухудшению здоровья зубов.
Причины появления налета
- Употребление красящих продуктов: Чай, кофе и курение создают идеальные условия для накопления налета. Пористая структура углеродной пленки на поверхности зубов способствует глубокому впитыванию пигментов.
- Недостаточная гигиена: Даже при регулярной чистке зубов, налет может скапливаться в труднодоступных местах, таких как внутренние поверхности и мелкие трещинки.
Советы по уходу за зубами
- Регулярное очищение: Чтобы избежать накопления налета, рекомендуется правильно очищать зубы не менее два раза в день, выделяя внимание тем участкам, которые сложно достать.
- Профессиональная гигиена: Посещайте стоматолога-гиениста не реже двух раз в год для глубокого очищения и контроля состояния зубов.
- Выбор качественной зубной пасты: Использование эффективной зубной пасты поможет сохранить свежесть и яркость зубов, предотвращая изменение их цвета.
Правильный уход и профилактика помогут сохранить вашу улыбку красивой и здоровой на долгие годы. Для получения дополнительной информации или записаться на консультацию, можно обратиться по телефону +7(8352) 70-97-91 или в чат.





























